Reklama Patronat Koncert życzeń Kontakt
Słuchaj nas: Kielce 107,9 FM | Busko-Zdrój 91,8 FM | Święty Krzyż 91,3 FM | Włoszczowa 94,4 FM
Tryb Ciemny
eM Radio
WŁĄCZ RADIO
OTWÓRZ NA TELEFONIE
Kod QR
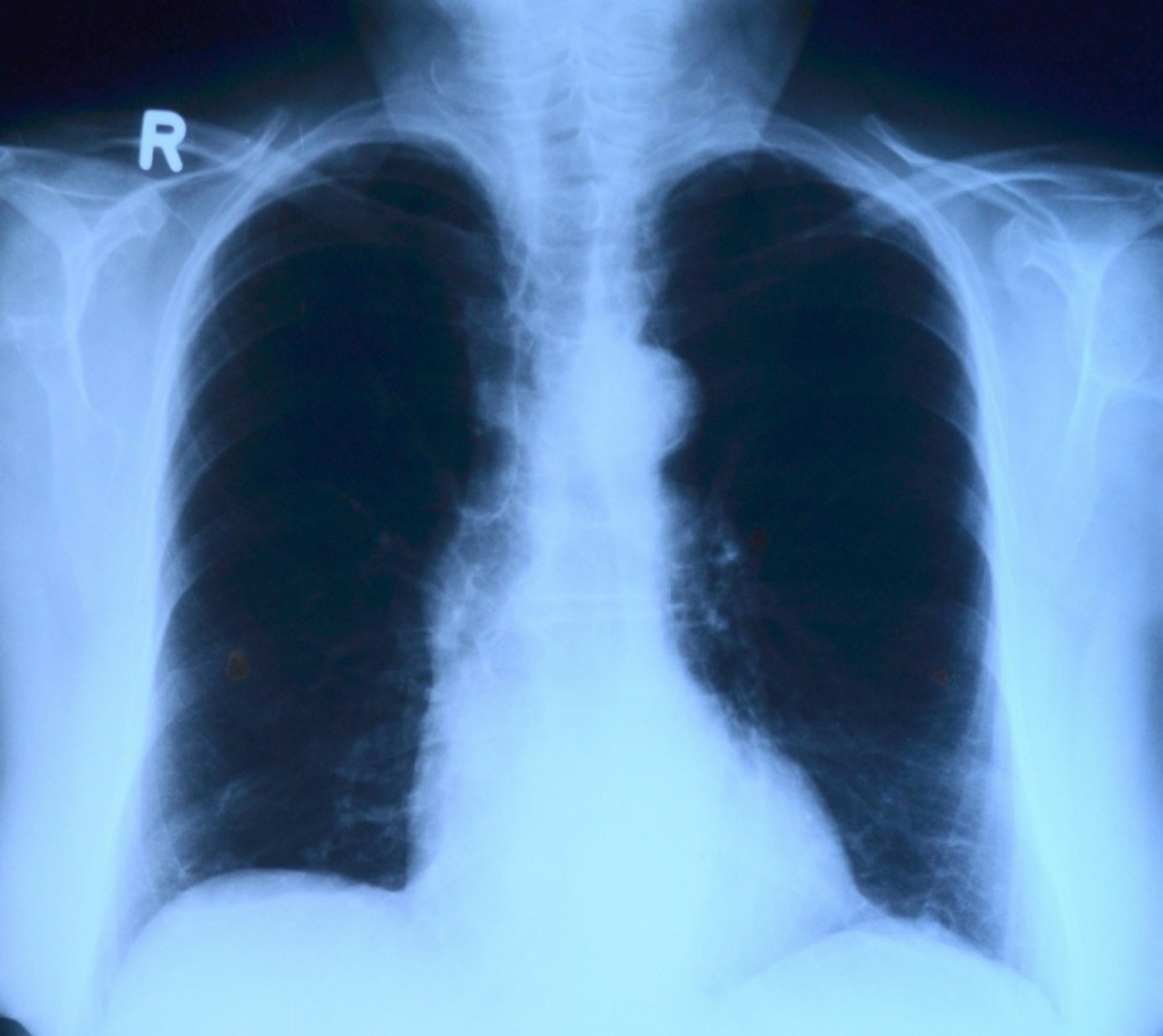
Coraz więcej osób ma powikłania pocovidowe. Najwięcej płucnych
Magdalena Nowak
2021.03.30 11:53

Dla wielu pacjentów zakażenie koronawirusem Sars-Cov-2 nie kończy się ustąpieniem najbardziej charakterystycznych objawów bądź zakończeniem kwarantanny. Coraz więcej pacjentów ma powikłania pocovidowe dotyczące układu oddechowego oraz szereg innych dolegliwości.

Większość osób przechodzi zakażenie koronawirusem łagodnie lub nawet bezobjawowo. Jednak nawet kilka miesięcy po przebytej infekcji niektórzy mogą zmagać się z szeregiem powikłań, wśród nich jest m.in. uszkodzenie miąższu płuc, schorzenia nerek, wątroby, zmiany skórne czy powikłania w obrębie układu sercowo-naczyniowego.

– Obecnie w swojej praktyce spotykam coraz więcej pacjentów, którzy przebyli chorobę Covid-19 i mają powikłania ogólnoustrojowe, jednak głównie ze strony układu oddechowego. Często te zmiany widać na wykonanym zdjęciu radiologicznym klatki piersiowej czy w tomografii komputerowej, ale też sami pacjenci skarżą się na duszności, ogólne osłabienie, zmniejszoną saturację krwi, temu wszystkiemu towarzyszą również  objawy kardiologiczne – mówi dr Zbigniew Bajor, pulmonolog.

– Trzeba również przyznać, że coraz więcej młodych ludzi przechodzi ciężko Covid-19 i później ma poważne powikłania. Spotykam w swojej praktyce częściej osoby młode, które przed zachorowaniem były w doskonałej kondycji fizycznej, a po przebyciu koronawirusa mają zdecydowanie gorszą wydolność organizmu i osłabienie ogólnoustrojowe – dodaje specjalista.

Infekcja Sars-Cov-2 nawet o lekkim przebiegu może prowadzić również m.in. do zapalenia mięśnia sercowego, ponadto specjaliści obserwują wzrost ryzyka zawału serca oraz zaburzenia jego rytmu. Do poważnych zagrożeń związanych z zakażeniem koronawirusem należą również powikłania zakrzepowo-zatorowe.

NAJNOWSZE

OSTATNIA AKTUALIZACJA

95
6,49
98
6,99
ON
7,32
LPG
3,74
ORLEN
Wincentego Witosa 64K, Kielce

CENY PALIW

SPRAWDŹ CENY AKTUALIZUJ

CZYTAJ DALEJ