Reklama Patronat Koncert życzeń Kontakt
Słuchaj nas: Kielce 107,9 FM | Busko-Zdrój 91,8 FM | Święty Krzyż 91,3 FM | Włoszczowa 94,4 FM
Tryb Ciemny
eM Radio
WŁĄCZ RADIO
OTWÓRZ NA TELEFONIE
Kod QR
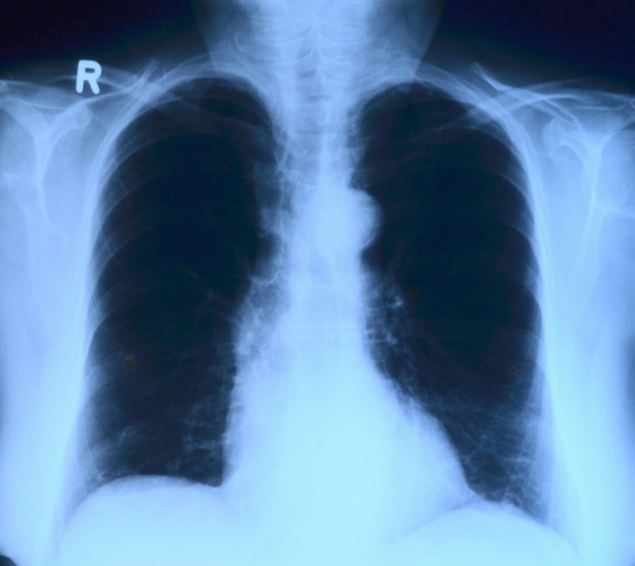
Kolejki do prześwietlenia płuc. Powodem koronawirus
Magdalena Nowak
2020.12.15 12:38

Wzrosła liczba wykonywanych prześwietleń klatki piersiowej, z związku z tym trzeba obecnie dłużej na nie czekać. Wzrost spowodowany jest dużą liczbą pacjentów, którzy wykonują badania po przebytej chorobie Covid-19.

Jak informuje Małgorzata Pawlik, dyrektor przychodni Darimed w Kielcach, w placówce wykonywanych jest blisko 50 procent więcej badań niż przed pandemią koronawirusa. – Stanowczo wzrosła liczba wykonywanych prześwietleń. Czas oczekiwania wydłużył się z jednego dnia do nawet ośmiu dni roboczych.  Na każde prześwietlenie musi być skierowanie wystawione przez lekarza POZ bądź z prywatnej przychodni  - dodaje dyrektor.

Jak podkreśla dr Zbigniew Bajor, pulmonolog, osoby które przeszły Covid-19, a czują następstwa ze strony układu oddechowego, powinny wykonać prześwietlenie płuc. – Gdy po przebytej chorobie nadal występuje kaszel, duszności czy spadek wydolności oddechowej, a dodatkowo widoczny jest spadek saturacji, wskazane jest takie badanie. W przypadku wystąpienia zmian w płucach, które łączą się z występującymi objawami, może to wymagać pogłębionej diagnostyki  w postaci tomografu komputerowego – tłumaczy specjalista. – Warto się jednak skonsultować ze specjalistą, który oceni, na ile jest to konieczne – dodaje lekarz.

Zdaniem lekarzy, okres rekonwalescencji po przejściu Covid-19 zależy w dużym stopniu od przebiegu infekcji i od stanu zdrowia pacjenta. W niektórych przypadkach może trwać nawet kilka miesięcy, np. u osób chorujących na astmę.

NAJNOWSZE

OSTATNIA AKTUALIZACJA

95
6,49
98
6,99
ON
7,32
LPG
3,74
ORLEN
Wincentego Witosa 64K, Kielce

CENY PALIW

SPRAWDŹ CENY AKTUALIZUJ

CZYTAJ DALEJ