Reklama Patronat Koncert życzeń Kontakt
Słuchaj nas: Kielce 107,9 FM | Busko-Zdrój 91,8 FM | Święty Krzyż 91,3 FM | Włoszczowa 94,4 FM
Tryb Ciemny
eM Radio
WŁĄCZ RADIO
OTWÓRZ NA TELEFONIE
Kod QR
sszpitalbusko.pl
Ortopedzi z Buska-Zdroju przeprowadzili innowacyjny zabieg. Pierwszy taki w Polsce
Magdalena Nowak
2019.12.10 13:55

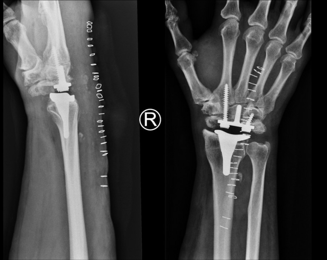
Specjaliści z powiatowego szpitala w Busku-Zdroju przeprowadzili trudny i rzadko wykonywany zabieg operacyjny założenia endoprotezy nadgarstka.

U operowanego pacjenta w młodości doszło do urazu nadgarstka, co doprowadziło do zwyrodnienia, objawiającego się blokadą ruchu oraz ogromnym bólem.

– Do wymiany stawu nadgarstka dochodzi wtedy, gdy leczenie farmakologiczne nie przynosi pozytywnych efektów. Skutkiem przeprowadzonego zabiegu jest uwolnienie pacjenta od przejmującego bólu, widocznej gołym okiem opuchlizny, oraz usunięcie dolegliwości związanych ze sztywnością stawu. Przed zabiegiem chory nie mógł wykonywać nawet prostych, podstawowych czynności typu: zapinanie odzieży na guziki, posługiwanie się kluczami itp. Po zabiegu  poprawie uległ komfort jego życia, a dolegliwości bólowe ustąpiły – informuje dyrektor lecznicy Grzegorz Lasak.

– Warto podkreślić, że jest to pierwszy w Polsce zabieg z wykorzystaniem konkretnej endoprotezy nadgarstka, renomowanej amerykańskiej firmy. Podobne operacje wykonywane są w naszym kraju wyłącznie na terenie specjalistycznych klinik – dodaje dyrektor.

Zabieg przy asyście lekarza Jacka Piątka przeprowadził doktor Włodzimierz Witwicki. Operacja trwała około dwóch godzin. Pacjent po trzech dniach został wypisany do domu.

NAJNOWSZE

OSTATNIA AKTUALIZACJA

95
5,73
98
5,97
ON
6,64
LPG
3,78
Mateusz
Circle K Express
Bohaterów Warszawy 8, Kielce

CENY PALIW

SPRAWDŹ CENY AKTUALIZUJ

CZYTAJ DALEJ