Reklama Patronat Koncert życzeń Kontakt
Słuchaj nas: Kielce 107,9 FM | Busko-Zdrój 91,8 FM | Święty Krzyż 91,3 FM | Włoszczowa 94,4 FM
Tryb Ciemny
eM Radio
WŁĄCZ RADIO
OTWÓRZ NA TELEFONIE
Kod QR
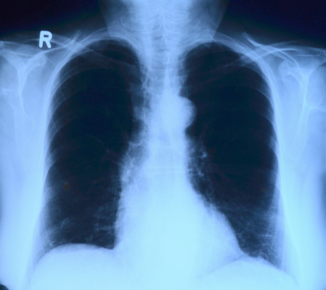
Powikłania po Covid-19. Jakie narządy może uszkodzić koronawirus?
Magdalena Nowak
2021.01.12 14:01

Większość osób przechodzi zakażenie koronawirusem łagodnie lub nawet bezobjawowo. Jednak nawet kilka miesięcy po przebytej infekcji niektórzy mogą zmagać się z szeregiem powikłań, wśród nich jest m.in. uszkodzenie miąższu płuc, schorzenia nerek, wątroby, zmiany skórne czy powikłania w obrębie układu sercowo-naczyniowego.

Jak podkreśla dr n.med. Zbigniew Bajor, pulmonolog i alergolog coraz więcej osób po przebytej chorobie Covid-19 udaje się do specjalistów aby skontrolować stan swojego zdrowia i wykonać badania, np. prześwietlenie płuc. – Naturalny przebieg tego schorzenia, nie jest do końca poznany, dużo już wiemy o drodze szerzenia się tego patogenu, o jego diagnostyce, coraz więcej o metodach leczenia, natomiast jeśli chodzi o następstwa – szczególnie te odległe – jest  dużo niewiadomych, o których dowiemy się z czasem. – Najczęstszym powikłaniem, które możemy zaobserwować jest uszkodzenie miąższu puc, spowodowane nadmierną odpowiedzią układu immunologicznego. Spotykam się z często z młodymi pacjentami, którzy czynnie uprawiali sport, mieli bardzo dobrą wydolność oddechową, a problemy płucne utrzymują się u nich nawet kilka miesięcy od zakażenia. Istnieją też powikłania ze strony układu sercowo-naczyniowego, nerek, wątroby, mogą również wystąpić zmiany skórne oraz zaburzenia psychiczne czy osłabienie koncentracji – wymienia specjalista.

Jak podkreśla lekarz około 80 procent osób przechodzi chorobę Covid-19 łagodnie, natomiast pozostałe odczuwają większe dolegliwości i to u nich najczęściej występują powikłania, chodź nie jest to reguła. – Powikłania dotykają często osób ze schorzeniami przewlekłymi, czy to ze stronu układu oddechowego np. z ciężką astmą oskrzelową i  przewlekłą obturacyją chorobą płuc czy ze strony układu sercowo-naczyniowego. Są też osoby zdrowe, u których po przebyciu choroby i okresie stabilizacji następuje nasilenie pewnych dolegliwości, np. ogólne osłabienie organizmu czy duszności –mówi dr n.med. Zbigniew Bajor.

Infekcja Sars-Cov-2 nawet o lekkim przebiegu może prowadzić również m.in. do zapalenia mięśnia sercowego, ponadto specjaliści obserwują wzrost ryzyka zawału serca oraz zaburzenia jego rytmu. Do poważnych zagrożeń związanych z zakażeniem koronawirusem należą również powikłania zakrzepowo-zatorowe.

NAJNOWSZE

OSTATNIA AKTUALIZACJA

95
6,49
98
6,99
ON
7,32
LPG
3,74
ORLEN
Wincentego Witosa 64K, Kielce

CENY PALIW

SPRAWDŹ CENY AKTUALIZUJ

CZYTAJ DALEJ